Frontiers in Diabetic Macular Edema: Increasing Durability to Improve Vision Outcomes in Vulnerable Populations

Frontiers in Diabetic Macular Edema: Increasing Durability to Improve Vision Outcomes in Vulnerable Populations
Frontiers in Diabetic Macular Edema: Increasing Durability to Improve Vision Outcomes in Vulnerable Populations
Racial Disparities Can Lead to Poor Outcomes in Diabetic Macular Edema (DME)
Racial disparities in the treatment of DME commonly lead to poor outcomes. New research by Rishi Singh, MD, and colleagues has characterized the association between socioeconomic factors, anti-VEGF utilization, and DME outcomes.1 Data showed that baseline visual acuity (VA) was worse (>20/40) in Hispanic and African American populations and in patients with Medicaid compared with non-Hispanic and White populations and patients with private-insurance, respectively (P < 0.001 for all).1 Additionally, VA outcomes over 5 years in Hispanic and African American populations are worse compared with non-Hispanic and White populations.2 Patients with Medicaid also experience worse VA outcomes compared with patients who have private insurance. Overall, these patient populations have less access to care, which leads to fewer injections and results in poor outcomes since frequent anti-VEGF treatment is necessary for good visual outcomes.
Other data corroborate the finding that minority groups and those with lower socioeconomic status experience worse vision outcomes with respect to DME. One study showed that Black patients with DME had a lower odds ratio of vision improvement following initial treatment with bevacizumab compared with White patients (Figure 1).3 The reasons behind these disparities are multifactorial, and as physicians, it is frustrating to see these patients lose vision.

Emerging Angiogenic Targets
The current standard of care for DME is anti-VEGF therapy. Despite these agents being highly effective, these drugs only target VEGF molecules. However, other factors such as angiopoietin-2 (Ang-2) are involved in vascular permeability and neovascularization.4 In normal blood vessels, angiopoietin-1 (Ang-1) promotes stabilization by activating Tie-2 receptors (Figure 2). In diseased blood vessels, there is an angiogenic switch that occurs where Ang-2 levels increase and are greater than Ang-1. Ang-2 then binds Tie-2 receptors which in turn cause vascular leakage, destabilization, and inflammation.4 Observational studies have shown that Ang-2 is elevated in vitreous samples from patients with proliferative diabetic retinopathy and retinal vein occlusion and in the aqueous humor of eyes with neovascular age-related macular degeneration (nAMD).5-7

Since Ang-2 works synergistically with VEGF in diseased vessels, can outcomes in DME be improved by inhibiting Ang-2 in addition to VEGF-A? Faricimab is a new bispecific antibody that targets both VEGF-A and Ang-2 (Figure 3).4 One arm binds Ang-2 and the other binds VEGF-A. In addition, the Fc portion of the antibody has been designed to decrease inflammation and systemic exposure.8
Faricimab Is an Effective, Safe, and Durable Treatment for DME
YOSEMITE and RHINE were global, masked, phase 3 clinical studies that looked at the efficacy and safety of faricimab compared with aflibercept in patients with DME.9 There were 3 arms in each trial. The first arm consisted of 5 loading doses of aflibercept followed by Q8-week treatment. The second arm consisted of 6 loading doses of faricimab followed by a Q8-week dosing interval. The third arm was a personalized treatment interval (PTI) in which patients received 4 loading doses of faricimab followed by a treat-and-extend protocol.9
Results showed the faricimab met its primary endpoint and was noninferior to aflibercept with respect to best corrected visual acuity (BCVA) gains from baseline (Figure 4).9 Data were averaged over Weeks 48, 52, and 56 of the trial to eliminate potential bias due to the varying treatment intervals between the arms of the study. The discontinuation rate of the study was low, and COVID-19 did not significantly impact the study.


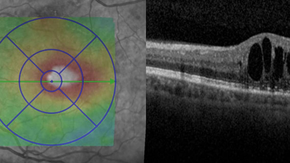
Additional analyses showed that mean central subfield thickness (CST) change from baseline was greater in both faricimab arms compared with aflibercept (Figure 5). This finding was also consistent with the observation that more patients treated with faricimab had an absence of DME and intraretinal fluid compared with aflibercept.

Durability data showed that >70% of patients treated with faricimab achieved a Q12- or Q16-week dosing interval (Figure 6). Overall, safety data were comparable between the study arms. Intraocular inflammation was slightly higher compared with aflibercept (1.3% vs 0.6%).9

THR-149 and THR-687 Are New Molecules with Targets Beyond VEGF
Other molecules with unique mechanisms of action are in the pipeline. Between 30% to 40% of patients do not respond to anti-VEGF therapy since it is a multifactorial disease.10-12 Therefore, other agents with different mechanisms of action are needed to treat this patient population. One molecule in development is THR-149 (Figure 7).13 This therapy inhibits plasma kallikrein (PKal), which is elevated in the vitreous of patients with DME.14 Phase 1 data showed that THR-149 was well tolerated with no dose-limiting toxicities and a mean BCVA gain of 6.4 at month 3 after a single injection.15 VA gains occurred rapidly with a mean gain of 7.5 at Day 14. THR-149 is now being studied in the phase 2 KALAHARI trial.16

Another molecule in development is THR-687, which is a pan arginylglycylaspartic acid (RGD) integrin antagonist (Figure 8).17 Integrin antagonists function both upstream and downstream of VEGF. As such, there is the potential for broad efficacy to treat not only DME, but also diabetic retinopathy and nAMD.17 Results from a phase 1 trail showed that THR-687 was well tolerated with no dose-limiting toxicities.18 Patients had a rapid increase in VA gains with a mean BCVA change of 7.7 at Day 14, and these gains were maintained over the 3-month study period.18 The phase 2 trial is planned to start by the end of 2021.
Take-Home Message
In the real world, patients with DME are undertreated due to disparities based on ethnicity and access to care. The goal for physicians is to maximize VA gains, and it is exciting to have novel mechanisms of action on the horizon that can improve outcomes and achieve greater durability. Treatment burden is a large unmet need in DME, and this issue is often magnified in minority populations. It is encouraging to see multiple agents moving along the investigational pipeline. Faricimab, which blocks both VEGF-A and Ang-2, and other investigational treatments may help reduce the treatment burden and ultimately improve visual outcomes in patients with DME.
References
- Malhotra NA, Greenlee TE, Iyer AI, Conti TF, Chen AX, Singh RP. Racial, ethnic, and insurance-based disparities upon initiation of anti-vascular endothelial growth factor therapy for diabetic macular edema in the US. Ophthalmology. Published online March 11, 2021. doi:10.1016/j.ophtha.2021.03.010
- Malhotra NA, Greenlee TE, Iyer AI, Conti TF, Chen AX, Singh RP. Association of racial and social factors with anti-VEGF treatment and outcomes in diabetic macular edema. Presented virtually at American Academy of Ophthalmology Annual Meeting; November 12, 2020.
- Osathanugrah P, Sanjiv N, Siegel NH, Ness S, Chen X, Subramanian ML. The impact of race on short-term treatment response to bevacizumab in diabetic macular edema. Am J Ophthalmol. 2021;222:310-317.
- Nguyen QD, Heier JS, Do DV, et al. The Tie2 signaling pathway in retinal vascular diseases: a novel therapeutic target in the eye. Int J Retina Vitreous. 2020;6:48.
- Huber M, Wachtlin J. Vitreous levels of proteins implicated in angiogenesis are modulated in patients with retinal or choroidal neovascularization. Ophthalmologica. 2012;228(3):188-193.
- Tuuminen R, Loukovaara S. Increased intravitreal angiopoietin-2 levels in patients with retinal vein occlusion. Acta Ophthalmol. 2014;92(2):e164-165.
- Ng DS, Yip YW, Bakthavatsalam M, et al. Elevated angiopoietin 2 in aqueous of patients with neovascular age related macular degeneration correlates with disease severity at presentation. Sci Rep. 2017;7:45081.
- Sahni J, Dugel PU, Patel SS, et al. Safety and efficacy of different doses and regimens of faricimab vs ranibizumab in neovascular age-related macular degeneration: the AVENUE phase 2 randomized clinical trial. JAMA Ophthalmol. 2020;138(9):955-963.
- Wykoff CC. Faricimab phase 3 topline results in diabetic macular edema. Presented at Angiogenesis, Exudation, and Degeneration 2021; Miami, FL; February 13, 2021.
- Bressler SB, Ayala AR, Bressler NM, et al; Diabetic Retinopathy Clinical Research Network. Persistent macular thickening after ranibizumab treatment for diabetic macular edema with vision impairment. JAMA Ophthalmol. 2016;134(3):278-285.
- Wells JA, Glassman AR, Ayala AR, et al; Diabetic Retinopathy Clinical Research Network. Aflibercept, bevacizumab, or ranibizumab for diabetic macular edema: two-year results from a comparative effectiveness randomized clinical trial. Ophthalmology. 2016;123(6):1351-1359.
- Blinder KJ, Dugel PU, Chen S, et al. Anti-VEGF treatment of diabetic macular edema in clinical practice: effectiveness and patterns of use (ECHO Study Report 1). Clin Ophthalmol. 2017;11:393-401.
- Bhatwadekar AD, Kansara VS, Ciulla TA. Investigational plasma kallikrein inhibitors for the treatment of diabetic macular edema: an expert assessment. Expert Opin Investig Drugs. 2020;29(3):237-244.
- Kita T, Clermont AC, Murugesan N, et al. Plasma kallikrein-kinin system as a VEGF-independent mediator of diabetic macular edema. Diabetes. 2015;64(10):3588-3599.
- Khanani A. A phase 1, open-label, dose-escalation study of THR-149 for the treatment of diabetic macular edema (DME). Presented at the American Academy of Ophthalmology Annual Meeting; San Francisco, CA; October 12, 2019.
- A study to evaluate THR-149 treatment for diabetic macular oedema (KALAHARI). Clinicaltrials.gov identifier: NCT04527107. Updated April 5, 2021. Accessed May 7, 2021. https://clinicaltrials.gov/ct2/show/NCT04527107
- Hu TT, Vanhove M, Porcu M, et al. The potent small molecule integrin antagonist THR-687 is a promising next-generation therapy for retinal vascular disorders. Exp Eye Res. 2019;180:43-52.
- Khanani A. A phase 1 study of THR-687: an integrin antagonist for the treatment of diabetic macular edema (DME). Presented at Angiogenesis, Exudation, and Degeneration 2020; Miami, FL; February 8, 2020.
Ready to Claim Your Credits?
You have attempts to pass this post-test. Take your time and review carefully before submitting.
Good luck!
Recommended


Shifting the Script: Personalizing Overactive Bladder Treatment in Complex Patients
Shifting the Script: Personalizing Overactive Bladder Treatment in Complex Patients
CME/CEShifting the Script: Personalizing Overactive Bladder Treatment in Complex Patients
0.25 credits0.25 credits- 1.00 credit 9 episodes


Emerging Evidence: IgAN Disease-Modifying Agents
Emerging Evidence: IgAN Disease-Modifying Agents
MinuteCE®Emerging Evidence: IgAN Disease-Modifying Agents
1.00 program credit1.00 program credit

Targeting Lower Proteinuria Levels: Shifting the Goalpost in IgAN
Targeting Lower Proteinuria Levels: Shifting the Goalpost in IgAN
MinuteCE®Targeting Lower Proteinuria Levels: Shifting the Goalpost in IgAN
1.00 program credit1.00 program credit






















